インビザライン治療体験日記
インビザライン治療体験日記 目次
No.1 インビザライン歯科矯正
こんにちは、西口受付の内田です(^^)
突然ですが、皆様は自分の歯並び気になった事はありますか?
私は歯並びが悪く、写真を撮る際などいつも歯並びが気になっていました(>_<)
しみずデンタルクリニックで働き始めて、歯並びの悪さは見た目だけではなく、
・ブラッシングがしづらいことで虫歯や歯周病になりやすくなる
・しっかり食べ物を噛み砕けない事で胃腸に負担がかかる
・歯並びが乱れることで発音に支障が出る事がある
・噛み合わせが乱れることで顎にかかるバランスが悪くなり、顎や顔、全身に歪みが生じる事がある
など色々なデメリットを知り、歯科矯正に興味を持ち始め、
この度歯科矯正を始めることになりました(*^_^*)
私が始めたのはマウスピース矯正の『インビザライン』です!皆様ご存知でしょうか?
私は虫歯になりやすいので、取り外しができて衛生的なところや
受付で毎日たくさんの患者さまとお話をさせて頂くので、
透明で目立たないアライナーがとっても気に入ってます(*^_^*)
そんな私のインビザラインライフをこれから日記で発信していきます♪
歯科矯正、インビザラインが気になってる方の参考になればいいなと思っております(^O^)
どうぞ宜しくお願い致します♪
No.2 インビザライン検査
こんにちは、西口受付の内田です(^^)
インビザライン日記第2弾!
今回はインビザラインの検査についてです♪
まず
☆パントモ(全体のレントゲン)
☆セファロ(真横からのレントゲン)
☆口腔内の写真を5枚撮影
☆顔写真(正面、側方、スマイル)の撮影
その後、型取りをします(^O^)♪
上顎、下顎、噛み合わせの型を取ります!
それらを専用の箱に入れて送ります☆
院長や歯科衛生士のスタッフに指示してもらいながらだったので
検査は無事に、あっという間に終わりました(*^_^*)
No.3 インビザラインシミュレーション
こんにちは、西口受付の内田です(^^)
インビザライン日記第3弾!
今回はインビザラインのシミュレーションについてです♪
型取りを終え、アライナーが届くのを待ち遠しく過ごす日々!
院長が素敵な動画を見せてくださいました(*^_^*)
私の現在の歯並びからどのように変化していくかの過程が
シミュレーション動画で確認することが出来るんです♪
歯科矯正初心者の為どんな風に歯が動くんだろう?
こんなにガタガタなのにどんな風に綺麗に整うんだろう?
と不安に思うときもありましたが、
シミュレーション動画を観て一気にイメージが具体的になり
ますますアライナー到着が待ち遠しくなりました(*^_^*)
そしてこの結果によって治療期間もわかります!
インビザラインの矯正は最初にゴールが設定されていて、
そこへ向けて逆算してアライナーの枚数が決まるのでわかりやすいです(^O^)♪
No.4 インビザラインセット
こんにちは、西口受付の内田です(^^)
インビザライン日記第4段!
今回はインビザラインセットについてです♪
待ちに待ったアライナーが到着しました!
私専用のアライナードキドキ嬉しいです(*^_^*)
カッコイイ箱に入っています!

箱をあけてみるとひとつひとつ包装された装置が入ってます!

当院の歯科衛生士の横田さんに聞いたところ、
ひとつひとつ滅菌されていてとても清潔な状態とのこと(*^_^*)
そんな清潔なアライナーの中にひとつ、
他のものとは違う記載の包装があります!
attachment template(アタッチメントテンプレート)と書いてあります♪

このテンプレートを使って私の歯にアタッチメントをつけていきます☆
アタッチメントとは歯の表面に歯との色と同じ突起をつけることがあります。
この突起の部分が押され歯が動きます。
アタッチメントは患者さまによって数や装着する歯が異なります。私は16個つけました(^O^)
私はアタッチメントをつける前に『IPR』もしました☆
IPRとは歯の幅を少しだけ小さくすることで、
歯を並べる為に健康な歯を抜歯しなければならない可能性を回避したり、
左右の歯の形態を整える為に行う処置です。
隙間を作り、その幅を利用して歯を並べていきます(*^_^*)
そしてついにひとつ目のアライナーがセットされました・・・(*^_^*)♪
つづく
No.5 インビザラインアライナー1
こんにちは、西口受付の内田です(*^_^*)
インビザライン日記第5段!
今回はアライナー装着についてです♪
前回の記事にも書いた装着前の工程を終えいざ装着です(^O^)!

ん?
なんか痛いような・・・?
(カチっとはまると)
痛〜い((+_+))((+_+))((+_+))
とっても痛いです・・・
そしてアライナーをはめたあと『アライナーチューイー』という(下記画像参照ください)
アライナーと歯をフィットさせ、歯を動かしやすくするための
弾力性のある棒状のものを噛むのですが、
噛めば噛むほど痛い・・・((+_+))

私は特に2日目が特に痛かったです((+_+))
まだ取り外しも不慣れな為、アライナーがなかなか外れず
やっと外れたと思っても食事の際、噛むと痛みがありました((+_+))
でも4日目頃から徐々に痛みが軽くなっていき、
現在7日目なのですが食事の際の違和感はまだ少しありますが、ほぼ痛みがなくなってきました(*^_^*)
アライナーの取り外しも慣れてきました♪
痛い時の食事は大変だし、辛いものですが、
私は『この痛みは歯が動いてる証拠なんだ〜(^O^)♪』と
なんだか嬉しいような気持ちにもなり、頑張れそうと思いました☆
シミュレーション動画がまた浮かびます(*^_^*)笑
今はふたつ目のアライナー装着日が待ち遠しいです・・・♪
No.6 インビザラインアライナー2
こんにちは、西口受付の内田です(*^_^*)
アライナー2枚目になりました♪

やっぱりアライナーを変えたときはきつく、若干痛みもあります((+_+))
慣れたと思っていましたが、新しいアライナーに変えると外すのも思うようにいきません(>_<)!
そして今回外す際、アライナーのゴムをかけるところに指をひっかけてしまい、
最初はなんでもなかったのですが徐々にめくれてきて(@_@)
唇の内側にあたりとっても痛かったです(>_<)!
院長にお願いをして、処置をして頂きその後は問題なく使用できました(^^)
あとは右下の歯が痛いような、違和感がある日が何日か続いたのですが、
右下につけているアタッチメントが着脱の際、取れてしまうということもありました((+_+))
色々原因はあるかと思いますが、
しっかりと歯が移動をしていて負荷がかかっている証拠なのでは?と思い、
あまり不安にならず、その後も衛生士にしっかりと付け直して頂き、
こちらも問題なく使い続けることが出来ました(^^)♪
このように使用する上でのトラブルなどを
実感することが出来た2枚目のアライナーでした!☆
でもすぐに院長や周りのスタッフに相談、処置をしてもらえて
あまり不安になることはありませんでした(^^)
この日記を見てくださっているインビザラインを使用中の患者様や
検討されている患者様は突然のトラブルは不安かと思いますが、
そんなときはすぐにお電話でご連絡ください(*^_^*)
ご相談頂けましたら、同じようにできる限り早めの処置をさせていただきます☆
私はアライナーが38枚あるのでまだ2枚目と先はまだまだ長いですが、
今の調子のままアライナー生活を楽しみながら頑張りたいと思います♪
No.7 インビザラインアライナー3
こんにちは、西口受付の内田です(*^_^*)
アライナー3枚目になりました♪
3枚目に突入して今更ですが、
これから奇数のアライナーのときに口腔内写真を載せていこうと思います(^O^)☆
初写真!こちらです↓\(^o^)/

ガタガタでお恥ずかしいです(>_<)
私は特に左上の2番目の歯が中にへっこんでいるのが
昔から嫌で気になっていました(;O;)
これからどう変わっていくか口腔内写真を比べていきたいと思います(*^_^*)
No.8 インビザラインアライナー4
こんにちは、西口受付の内田です(*^_^*)
アライナー4枚目になりました♪

4枚目になり、慣れたを通り越して装着がめんどくさくなる
時期がやってまいりました・・・
慣れは怖いです((+_+))(笑)
でもここで努力を怠ればシミュレーション動画の通りの
歯の動きじゃなくなってしまうかも(>_<)と自分を脅し、
食事の後はなるべく早くせっせと歯磨きをして、
アライナーの装着時間を少しでも長くするようにしています\(^o^)/
そして私は元々甘いものが大好きなむし歯っ子です(^_^;)
そこで歯科衛生士の横田さんが私に、
インビザラインを始めるときに良いことを教えてくれました(*^_^*)
アライナーをつける前に、歯磨きとフロスをした後、
すぐにアライナーを装着するのではなく、
フッ素ジェルをしてから装着すると虫歯予防効果が高いとのことでした(^^)☆
私は教えてもらった日から私は毎日続けています♪
またインビザラインを始める前は、私は恥ずかしいことに
フロスは夜しかやっていなかったのですが、
インビザラインを始めてからは、フロスは食後必ずと
フッ素ジェルをしてから寝るようにすることを毎日続けていたら
朝の口臭が気にならなくなりました(^O^)
歯並びも良くなり、口腔内状態も良くなり、
私にとってはインビザラインは嬉しいことばかりです(*^_^*)
なのでこれからもめんどくさがらず頑張りたいと思います♪
No.9 インビザラインアライナー5
こんにちは、西口受付の内田です(*^_^*)
アライナー5枚目になりました♪
5枚目の装着開始時期は年末からでした!
医院の休みに入る前に院長にIPRをして頂きました(^O^)
(IPRとは? 以前の『No.4』の記事に詳しく載ってます♪)
写真がこちら↓

前回のときと2枚しか経っていないのでまだあまり変わりませんね・・・☆
でもこれから写真をつなげていったとき、
動画のように変化していく状態を見るのが楽しみです(*^_^*)
No.10 インビザラインアライナー6
こんにちは、西口受付の内田です(*^_^*)
アライナー6枚目になりました♪

最初の頃はアタッチメントが取れてしまうこともあったのですが、
最近は取れてしまうことはまったくなく、
つけ外しもどんどんスムーズになってます\(^o^)/
あと☆インビザラインアライナー4 の記事でも書いたのですが、
『デンタルフロス』にもとても慣れてきました(^O^)☆
インビザラインを始める前はずっと持ち手がついたフロスを使っていました!
インビザラインを始める前は夜しかフロスをしていなかったので
問題なかったのですが、インビザラインを始めてからは、
例えば外食をしたりすると食事の後すぐ歯を磨いてフロスをするので、
繰り返し使えるタイプの持ち手付フロスだと持ち歩きにはなんだか不衛生な気がして
使うときに20〜30cmに切って使い捨てできるタイプのフロスに変えました☆
私が使ったのはしみデンでも使用しているジョンソン&ジョンソンのデンタルフロスです♪

持ち手がついたフロスに慣れてしまっていたため、
使い始めの頃は使いにくい〜!と感じました((+_+))
何度も持ち手つきに戻そうかと思いましたが、衛生士のスタッフに使い方を聞いたり
youtubeで動画を見たりして、今ではすっかり慣れて時間もかからず使用できています(*^_^*)
今しみずデンタルクリニックの受付ではデンタルフロスのサンプルをお配りしています☆
インビザラインを使用中の方やご検討中の方で、
フロスに慣れていない方はぜひこの機会に練習してみるのもいいかもしれませんね♪
デンタルフロスは皆様にお配りしており、なくなり次第終了となりますので
ぜひお早めにどうぞ♪
No.11 インビザラインアライナー7
こんにちは、西口受付の内田です(*^_^*)
アライナー7枚目になりました♪
写真載せます↓

アライナー3のときと比べると下の歯の重なりの部分が変化した気がします♪
7枚目の初日、いつも以上にアライナーがきつく感じて
もしかして入らない!?と不安になりましたが、無事装着できました(^O^)☆
入らないかもと思うときは本当にパニックですが(笑)
入った後はその不安が反省ややる気につながります☆
本当に入らないなんてことがないように装着時間を守る等、
正しい使い方を改めて心がけたいと思います(*^_^*)!
No.12 インビザラインアライナー8
こんにちは、西口受付の内田です(*^_^*)
アライナー8枚目になりました♪
前までは次のアライナー交換日はまだかなあ得意げなんて思っていましたが、
8枚目になりインビザライン生活が慣れて、当たり前になってきたようで
『あれ!?もう交換日が明日!?えっ』とビックリする出来事がありました(^_^;)
私は手帳に交換日を書いて、次のアライナーのパッケージにも
忘れないよう付箋を貼って管理しているので
忘れていたわけではないのですが時のスピードにビックリしました((+_+))!
慣れてくるとあっという間なんですね☆
そして最近、インビザラインを検討されている患者様が多く、
お恥ずかしながら受付で直接私の装着姿をご覧頂くこともしばしば・・・(*^_^*)
『本当に目立たないですね〜気づかなかったです〜』と言って頂けるのが多く嬉しいですが、
同じくらい必ず聞かれるのが『痛くないですか?』ということです!
そうですよね、痛いか心配ですよね・・・
患者様が気にされてる痛みは、痛みの種類ではなくきっと度合ですよね((+_+))!
度合は個人差があるので私も参考程度のことしかお話しできないのがもどかしいですが、
痛みの種類について歯科衛生士の横田さんから聞くことが出来たので
痛みの種類のお話をさせていただきます(*^_^*)
まずアライナーをつけて最初の数日歯が痛いのは、
1枚のアライナーの最終日、移動後の歯列の型をはめる為、
最初の数日は歯が頑張ってその型に合わせようと動いている良い痛みとのことでした(^O^)
ただ数日経ってもずーっと痛みが続く場合は、型が合っていないなど
良くない原因の痛みになのでその場合はすぐにDrに診てもらう必要があるとのことでした(>_<)
このように痛みには良い痛み、悪い痛みがあるようです!☆
痛みの種類は別だけどどちらにしても痛みは度合は一緒だしつらいと思います(>_<)
でも痛みには意味がある!ということを理解できれば
きっと乗り越えられる痛みだと私は思います\(^o^)/
ただ本当に痛みに弱い方はじっくり考えてみてくださいね☆
無理をせず素敵なインビザラインライフを送るために、
気になることがあればいつでもご相談くださいね♪
No.13 インビザラインアライナー9
こんにちは、西口受付の内田です(*^_^*)
アライナー9枚目になりました♪
画像載せます↓☆

・・・・・((+_+))!
なんか7枚目の写真の方がキレイな気がします(>_<)(笑)
私だけでしょうか??(^_^;)
実は私今月インフルエンザにかかってしまい、
スポーツドリンクをこまめに飲むために装着時間が短くなったので
指定された日数より長めにつけたのですが・・・
やっぱりきちんとつけないと戻ろうとしていまうのかもしれませんね(;O;)
最近めんどくさがりの性格が出て、インフルエンザのときのくせが出てしまい
食事の後すぐ歯磨きをしなかったり・・・
インフルエンザだけのせいには出来ませんね、反省です(>_<)
初心に戻ってきちんとやりたいと思います\(^o^)/
No.14 インビザラインアライナー10
こんにちは、西口受付の内田です(*^_^*)
アライナー10枚目になりました♪
ついに二桁に突入しました〜!☆
10枚目も特に今までの同じような感じで使えています\(^o^)/
最初はめる時と2日目くらいまでいまだに痛いです・・・
さて、私は今月定期健診の予定月でした(^O^)♪
健診を担当してくれている衛生士の石島さんに、
『プラークコントロールが良くなっている!』と褒めてもらえました(*^_^*)
自分自身でもよくなってきたかな〜なんて思っていたのですが、
実際に衛生士のスタッフにそう言ってもらえるととても嬉しかったです♪
※プラークコントロールは、歯に付着したプラーク(歯垢)の量を減らすことです。
プラーク中の細菌が産生する「酸」や「毒素」が虫歯や歯周病の主な原因となるため、プラークコントロールをしっかりと行って細菌の数を減らせば、虫歯や歯周病を予防・改善させることができます。
プラークコントロール=歯磨き(ブラッシング)だと誤解している人も多いのですが、プラークコントロールはブラッシングだけではなく、デンタルフロスを用いたフロッシングや歯間ブラシの使用など、歯に付着したプラーク(歯垢)の量を減らす行為全般を指します。
インビザラインを始めて、デンタルフロスを毎回行うようになった結果だと思います!☆
ただ一箇所、白濁した歯が発見されました・・・
プラークコントロールも良くなったし、むし歯なしかな?♪なんて思いましたが、
元々むし歯っ子で甘いものも今でも良く食べるのでそれは甘い考えでした・・・(>_<)
ただ院長に確認して頂いたところ、まだ経過観察で大丈夫とのことなので
ちょっとは成長できたかなあと思いました(^O^)
このままむし歯を進行させず、口腔内の状態も歯並びも並行して
キレイにしていけるよう頑張りたいと思います!☆
No.15 インビザラインアライナー11
こんにちは、西口受付の内田です(*^_^*)
アライナー11枚目になりました♪
奇数枚数なので本来なら写真を載せるはずなのですが
すっかり忘れて装着日数終了後に気付いたので
次回12枚目のときに写真は載せたいと思います(>_<)
今回はインビザラインのゴムのお話をさせて頂きたいと思います(^O^)
まずゴムの画像です↓

袋にたくさん入っています♪

小さい輪っかですが、

結構伸びます!
このゴムは人によってゴムをかけない人、途中からかける人、
私のように最初からかける人などさまざまです☆
私は上の歯を後ろにさげていく予定なのですが、
アライナーだけでなく、このゴムをつけると歯の移動がよりスムーズに行われ
ゴムをつけるのとつけなのでは歯の動きが全然違うとのこと\(^o^)/
私は一日一回ゴムを換えていたのですが、
衛生士の横田さんに聞いたところ衛生面も考えると
食後毎回換えた方が良いとのことなので毎食後歯磨きのあとに換えることにしました(^^♪
ゴムも伸びてしまうと効果が半減なのでこまめに換えるのはいいことですよね!♪
ゴムをかけるのがめんどくさいな〜と思うことがあるんですが、
真面目に使うと全然違うよ〜と教えてもらったので頑張ろうと思いました!
こんなちっちゃくて可愛い見た目ですが、
歯の移動の為にバリバリ働いてくれている頼もしいゴムのお話でした(*^_^*)
No.16 インビザラインアライナー12
こんにちは、西口受付の内田です(*^_^*)
アライナー12枚目になりました♪
前回のブログでお見せできなかった口腔内写真載せます↓

最初の頃と比べると下の歯が移動しているのがわかりました(^O^)
今回初日アライナーをつけたとき、上の歯がとても痛かったので(;O;)
今後は上もどんどん移動してくれるのではと楽しみです♪
あと12枚目の今回初めてアライナーが浮いた感じを体験しました(@_@)
前歯のところがプカプカしてしまい、隙間が出来てしまうような感じでした・・
院長に確認して頂き、その後は無事いつも通り使えました☆
初めてで焦ってしまいましたが、そんなときはすぐ相談ですね\(^o^)/
さて、皆様!実はこの画像でだめなところがあります!
お気づきの方はいらっしゃいますでしょうか(^O^)?
答えは左上の奥のアライナーがきちんとはまっていないところです!
食事のあと写真を撮ってもらったのですが歯磨き後、
急いでいてアライナーチューイーがきちんと噛めていなかったのです(>_<)
だめですね〜(写真撮った後きちんと噛みました(^v^))
このような状態が続いてしまっては装着時間がもったいないので、
皆様もアライナーチューイーはしっかり噛みましょう!
TVを観ながら・・・などながら時間を利用するのもお勧めですよ☆
No.17 インビザラインアライナー13
こんにちは、西口受付の内田です(*^_^*)
アライナー13枚目になりました♪
本来なら写真を載せる奇数記事ですが、
☆インビザラインアライナー11 のときに記事を載せ忘れてしまい(^_^;)
前回 写真を載せたので、15枚目の記事からまた写真を復活させようと思います(^O^)!
13枚目の装着期間の何日間か連休を頂いておりました♪
はじめてスカイツリーに登りました\(^o^)/
ソラカラちゃんに会えて嬉しかったです♪
連休中特に感じたことなのですが、食べ歩きが気軽に出来ないのがツライですね(;O;)(笑)
みんなソフトクリームとかクレープとか美味しそうに食べていて、
私もアライナーをはずせばいいんですが、外出先で取り外しが面倒くさいのと
装着時間のことが気になってしまい我慢してました(^_^;)
インビザラインの装着時間は1日20時間以上です☆
10日〜2週間ごとに次のアライナーに交換することで
歯が少しずつ矯正されてきれいな歯並びになります(*^_^*)
アライナー装着時間が短いと歯が予定通りに動きません☆
治療期間が長くなるだけでなくマウスピースが徐々に合わなくなるため、
マウスピースの再製作が必要になる場合もあるのです(>_<)!
なので気軽に食べられないのは少しツライですが、私は綺麗な歯並びの為には頑張れます(^O^)!
あと食べ歩きできなかった分私はソラカラちゃんのおまんじゅうを買いました♪
可愛かったです☆
あと食べる時間にメリハリがつくのでダイエットにも最適かと思います !☆
メリハリがつくと食事の時間を大切に出来るので食べるものにも気を付けるようになりました(*^_^*)
私は好きなものも食べてますが少し痩せましたよー♪
こんな風に我慢と思うばかりではなく、違う楽しみを見つけながら
うまく付き合っていければいいなあと感じた一日でした(*^_^*)
No.18 インビザラインアライナー14
こんにちは、西口受付の内田です(*^_^*)
アライナー14枚目になりました♪
14枚目に入って嬉しいことがありました♪
仕事が終わり、歯科衛生士の庄子さんと一緒に帰りました☆
電車に乗っておしゃべりしていると、
庄子さんが『内田さん歯並び変わってきましたね〜(^O^)』と言ってくれました☆
自分では毎日見て、変わったかな〜と変化に期待していて、
ブログの写真を人に見せては『この辺綺麗に並んできた気がするんだけどどうかな?』と
共感を強要することがよくあったのですが(笑)
はじめて相手から変化に気付いてもらえたのでとーっても嬉しかったです(*^_^*)
奇数枚数の時は前からの写真を載せていますが、
もうすぐ折り返し地点の枚数になるので
そのときには別角度からの写真もアップしたいと思います\(^o^)/
No.19 インビザラインアライナー15
こんにちは、西口受付の内田です(*^_^*)
アライナー15枚目になりました♪
写真載せます☆

いかがでしょうか??ドキドキ
3枚目の時と比べてみます\(^o^)/


下の歯がまっすぐになってます!☆
隣の歯同士の重なりも少しずつなくなってきている感じがします(*^_^*)
上の歯がどんなふうに動いていくのか今から楽しみですっ♪
No.20 イインビザラインアライナー16
こんにちは、西口受付の内田です(*^_^*)
アライナー16枚目になりました♪
当院でもインビザラインを始める患者様が増え、
受付でご説明をさせていただくこともしばしば・・・(*^_^*)
仲間が増えたような嬉しい気持ちになり(笑)
心の中で『一緒にがんばりましょうね☆』と勝手に呟いております(*^_^*)(笑)
以前、☆インビザラインシミュレーションという記事を書いたのですが、
インビザラインを始める患者様にこの動画をDVDにいれてお渡ししております♪
その時の記事に私の動画を載せていなかったので今回公開致します\(^o^)/
いかがでしょうか?☆
私ははじめてこの動画をみたときとっても感動しました!(笑)
患者様にもこちらのDVDはとっても喜んで頂けます♪
やっぱり具体的な歯の動きが見れるのはとっても嬉しいですよね(^O^)♪
インビザラインライフが辛くなったり、面倒くさくなったりしたときには
この動画を再生してモチベーションアップしたいと思いました☆
No.21 インビザラインアライナー17
こんにちは、西口受付の内田です(*^_^*)
アライナー17枚目になりました♪
画像貼ります↓

まだまだ少しずつですが、左上2番が動いてくれている気がするこの頃です(^O^)♪
シミュレーション動画 をみると20枚目以降どんどん動いていくような感じなので
楽しみでしかたありません(*^_^*)♪
次回の写真掲載の19枚目はついに折り返し地点で☆
別角度からの写真も載せる予定なのでぜひお楽しみに\(^o^)/
No.22 インビザラインアライナー18
こんにちは、西口受付の内田です(*^_^*)
アライナー18枚目になりました♪
ついに次は折り返しの19枚目です♪
なので今回は前半の歴史を振り返ろうと思います☆
写真を並べていきます↓







奇数枚数の時にしか写真を撮っていないので当たり前ですが、
不慣れな中の約半年間とても長く感じたのに
写真で振り返るとあっという間ですね(—_—)!!
今でも面倒くさいなあと思うときはありますが、それも含めて
出かけるときなど『あれ、チューイー持ったっけ?』など独り言をブツブツ言いながら
歯磨きセットを用意している自分がいて、インビザラインはすっかり生活の一部になっています♪
これもあと約半年間かあと思うと嬉しいような、寂しいような・・・
その半年間の記録もしっかりブログに書いていこうと思います(*^_^*)☆
前回の記事にも書きましたが、後半はぐんと上の歯が動いているので、
ブログに変化を書いていくのが本当に楽しみです♪
改めましてこのブログを読んでくださっている方、ありがとうございます(*^_^*)
インビザラインブログ後半もよろしくお願いいたします!☆
No.23 インビザラインアライナー19
こんにちは、西口受付の内田です(*^_^*)
アライナー19枚目になりました♪
今日は別角度からの写真をお載せします☆
まず2015年のなーにもしていないときの画像です!

そして最新の画像です(^O^)





いかがでしょうか?(*^_^*)
前からの角度だけだと左上の2番目の歯の動きがわからず、
動いているのかな〜なんて少し不安になっていましたが
写真をみて角度の変化にビックリ(@_@)!
頑張って前に出ようとしています!(笑)
頑張れーと応援したくなります\(^o^)/(笑)
下の歯は全体的にキレイに並んでいる感じです♪
院長が千葉テレビ「ビジネスフラッシュ 2nd stage 企業が輝くとき」 に出演した際、
『矯正治療が究極の歯科予防』なのではないかとおっしゃっていて、
私も見た目がキレイになるだけでなく、しっかり噛みあうことで必要なところに必要なだけの力がかかり、
キレイに歯が揃うことでセルフケアがしやすくなるのかあと思うと
本当に自分ことなのかと信じられませんが、嬉しくて本当に楽しみです!♪
引き続き、装着時間を守ってインビザラインライフを頑張りたいと思います\(^o^)/
No.24 インビザラインアライナー20
こんにちは、西口受付の内田です(*^_^*)
アライナー20枚目になりました♪
前回定期健診をしたとき、歯科衛生士の石島さんに
むし歯になりかけている歯を指摘されてしまいました(;O;)!
私は親知らずが変な生え方をしているせいで
隣の7番目の歯磨きの際ブラシがうまく当たらず↓
上の左右7番目の歯が要注意と言われてしましました・・・(;O;)
インビザラインが終わったら抜歯をする予定なのですが、
それまで7番目の歯がどうなってしまうのか・・・(>_<)
そこで最近当院に新しく入荷した『MIペースト』を使ってみることにしました(*^_^*)

MIペーストとは、豊富なミネラル(カルシウム、リン)や口腔内環境の中和作用と緩衝作用をもつCPP-ACP(リカルデント)を含んだ全く新しいコンセプトの口腔ケア製品です。
ブラッシングの後に、MIペーストを歯面に塗布するだけの簡単な操作で使用できます。
リカルデントガムと同じ牛乳由来成分 CPP-ACP が含まれた商品です。
今チェックアップのフッ素ジェルも使っているのですが、
今使っているチェックアップジェルは950ppmFの濃度なので夜一回使用するだけでOKのもの☆
むし歯になりかけの歯が今回増えたので日中もなにかケアが出来ないかと思い、
MIペーストを買いました(^O^)
当院ではヨーグルト味、イチゴ味、ミント味を取り扱っていて
私はヨーグルト味を買いました♪
感想は美味しいです(笑)
私はお昼ご飯を食べたあと、アライナーをつける際、中に入れちゃいます☆
そしてお口にセット!これでもOKです\(^o^)/
虫歯予防だけでなく、知覚過敏の緩和などにも効果があるそうなので
気になる方はぜひぜひ試してみてください(*^_^*)
No.25 インビザラインアライナー21
こんにちは、西口受付の内田です(*^_^*)
アライナー21枚目になりました♪
写真載せます↓☆

私のインビザラインの予定枚数は38枚なので
残り17枚!なんだかあっという間に感じます\(^o^)/
今回も昔の画像と見比べなくても歯がきれいに揃ってきているのが
わかるのでとても嬉しいです(*^_^*)
No.26 インビザラインアライナー22
こんにちは、西口受付の内田です(*^_^*)
アライナー22枚目になりました♪
22枚目も真面目のインビザラインライフを送りました\(^o^)/(笑)
食べたらすぐ歯磨き!
アライナーを少しでも長く!!
アライナーチューイーをしっかり噛む!!!
アライナーをつけたりはずしたりするのもすっかり生活の一部として定着してます♪
ごはん食べたあとなどちょっとゆっくりしたいな〜と思うときもあるのですが、
アライナーが装着されているのが当たり前になってきているので、
装着せずゆっくりしていると、装着時間のことばかり気になって全然落ち着きません(>_<)
全然ゆっくりできていないですね・・・(笑)
なのでやっぱりすぐ磨いて、装着してからゆっくりすることが定番です(*^_^*)
今までもインビザラインをはじめて、
☆歯並びが良くなってきた
☆口腔内の状態が良くなった
☆間食などが減り、痩せた
などなど・・・いいことばかりでとお伝えしてきましたが、
でもメリットがあればデメリットもありますよね(@_@)
最近気になるのが・・・(いまさらですが(笑))
滑舌です!
私はさ行が言いにくいです(@_@)
あと話しにくいので、ハッキリ喋ろうとすると唾が飛ぶのが気になります(>_<)
普通の距離で話す分には問題ないのですが、近いと気になります(@_@)
でも良く考えると、インビザラインをはじめる前もそこまで滑舌は良くはなかった気がして(笑)
最近おうちであいうべ体操をするようにしています♪
※あいうべ体操とは


次の4つの動作を順にくり返します。声は出しても出さなくてもかまいません。
①「あー」と口を大きく開く
②「いー」と口を大きく横に広げる
③「うー」と口を強く前に突き出す
④「ベー」と舌を突き出して下に伸ばす
①〜④を1セットとし、1日30セットを目安に毎日続けましょう!
この体操は、真剣に行うとかなり疲れます。
慣れるまでは、2〜3度に分けたほうが続けやすいでしょう。
入浴時はお口の乾燥も防げるので、入浴時にやるのがおすすめです。
また、「あいうべ体操」は、しゃべるときより口をしっかり、
大きく動かす必要がありますが、無理は禁物です。
とくに顎関節症の人やあごを開けると痛む場合は、
回数をへらすか、「いー」「うー」のみをくり返してください。
この「いー」「うー」体操は、関節に負担がかからないため、何回行ってもけっこうです。
「ベー」がうまくできない人は、大きめのあめ玉をなめて、
舌を運動させましょう。舌運動と甘味の刺激で、脳も活性化します。
あいうべ体操は滑舌の良し悪しを決める舌筋を鍛えることができ、
頬のたるみの改善や、脳の活性化による免疫力UPなどいいことだらけです\(^o^)/☆
今の私の滑舌の悩みはアライナーを装着してることからくるものなので
あまり関係ないかもしれませんが、
インビザライン終了した後も以前より良い滑舌になれたらいいなあと頑張っています(*^_^*)
顔の筋肉痛もありますが、効いているんだなあと嬉しくなります♪
みなさんもぜひ試してみてください(*^_^*)
No.27 インビザラインアライナー23
こんにちは、西口受付の内田です(*^_^*)
アライナー23枚目になりました♪
またしてもやってしまいました・・・
写真の撮り忘れです(;O;)
でも今このブログを書いているとき、
すでに24枚目なのですが、24枚目になり気になることがあったので、
次の記事で写真をアップしたいと思います(>_<)
宜しくお願いします!
ところでインビザラインされている方、アライナーの汚れ気になりませんか?(゜o゜)
私は毎日、昼か夜にリテーナーシャインをしています☆

それでもアライナーの細かい汚れって気になりますよね・・・
私は普段口紅を塗るので、口紅がアライナーの前歯のところについたりしてしまって
そういった汚れも気になります((+_+))
でも細かい汚れっていつもの歯ブラシだと届かないんですよね・・・
そこでおすすめなのが当院でも販売しているP−CUREという歯ブラシです\(^o^)/

部分用歯ブラシなのですが、細いのでアライナーのおそうじにもピッタリなんです(*^_^*)

先もとがっているのでアタッチメントのデコボコの部分もしっかり磨けます♪
ぜひぜひお試しください♪とってもスッキリしますよ\(^o^)/
No.28 インビザラインアライナー24
こんにちは、西口受付の内田です(*^_^*)
アライナー24枚目になりました♪
前回の記事 から間があいてしまい、ご無沙汰しております(;O;)
今回はしっかり写真も撮ったので
ぜひぜひ改めましてよろしくお願い致します(>_<)!
さっそく写真載せます↓

みなさま、お気づきでしょうか?
下の前歯のところ空間があるんです(@_@)
前回の記事で言っていた気になるところはここです!
写真の通りアライナーもはまっているし、
痛みや違和感もない状態です・・・
ただ23枚目から24枚目にかえるときに、空間に気付き
『つけるアライナー間違えた!?』と思うほどビックリしました(>_<)
IPRの予定もあったので院長に聞いてみることにしました!
つづく・・・
No.29 インビザラインアライナー25
こんにちは、西口受付の内田です(*^_^*)
アライナー25枚目になりました♪
さて前回の続きです☆
(アライナーの写真は次回26枚目で載せます\(^o^)/)
【マウスピース矯正も枚数していて、アライナーが合わなくなってくることもあります。
装着時間や日数が不足している、力がかかりづらくシミュレーションの歯の動きについてこれないなど、理由は様々です。
ではアライナーが合わなくなるとはどのような状態のことでしょう。
簡単に言えば、どんなに頑張ってはめてもアライナーが浮く状態のことです。
アライナーを新しいものに交換した時は一番きついのですが、
通常は指でしっかりはめ込み、アライナーチューイーをかむことで徐々にきつさも解消され、フィットするようになります。
上記のことを行ってもはまらなければ、それは合わなくなっているということですので、ドクターが口腔内を確認し、以降の治療について判断するようになります。】
と、以前話を聞いていたので院長にIPRをして頂いた際、診断もしてもらいました☆
結果は型を取り直すことになりました!!
マウスピースの作り直しです(>_<)☆
ただインビザラインにはありがたい保証があります♪
インビザラインは5年間の保証期間があり、作り直しや追加作成の費用は一切かかりません☆
※最初の型取りをしてデータを送って承認された日から5年間です!
またどれくらい期間がかかるのか、アタッチメントやIPRの処置もまたかわるのか・・・
最初のシミュレーション通りにいかなかったのは少し残念ですが(;O;)
保障があったり、シミュレーション通りにいかなかった場合の処置がハッキリしていると
私はとても安心でした(*^_^*)
型をとったらまたブログにUPしたいと思います\(^o^)/
No.30 インビザラインアライナー26
こんにちは、西口受付の内田です(*^_^*)
アライナー26枚目になりました♪
写真載せます↓

下のアライナーが浮いてます!
チューイーをしっかり噛んでもカチッとはまらなくなってきているようです(@_@)
でもそんな中でもしっかり歯は動こうとしてくれているみたいで、
初期の頃と比べると正中が揃ってきています(*^_^*)
歯並びが悪く、正中がずれていたため、
どこが1番なんだろう?とわかりづらかったのですが、
最近はしっかりわかるようになってきました!嬉しいです♪
型を取り直す予定になって少し気が緩んでしまっていましたが、
歯が戻らないように気を引き締めなおして!
装着時間厳守で頑張ろうと思います\(^o^)/
No.31 インビザラインアライナー27
こんにちは、西口受付の内田です(*^_^*)
アライナー27枚目になりました♪
写真載せます↓☆

MIペーストを入れた後に写真を撮ってしまったので、
下の歯が白くなってます(@_@)
アライナー27枚目のとき定期健診を受けました!☆
前回の健診の記事では虫歯になりかけている歯があることを記載しましたね☆
実はこのときプラークコントロールも悪くなっていたのです(;O;)
前々回の健診のときは良いと褒められたのに・・・
前回の健診のあとからMIペーストをSP−Tジェルを使用して、
ドキドキしながら今回の健診を受けました(@_@)
結果は・・・プラークコントロール良くなっていました(*^_^*)
歯科衛生士の石島さんからは、
『歯が揃ってきて磨きやすくなってきたんだね〜(*^_^*)』と言って頂き、
矯正治療のすごさを改めて実感しました♪
歯周病菌の数も減っていてとっても嬉しかったです☆
これはきっとSP−Tジェルのおかげですね♪
次の健診でもこの状態を保てるようにセルフケア頑張ります\(^o^)/
No.32 インビザラインアライナー28
こんにちは、西口受付の内田です(*^_^*)
アライナー28枚目になりました♪
29枚目の記事は新しい写真、30枚目の記事は型の取り直しのことを
書く予定なので、今回は振り返りと比較のことを書こうと思います\(^o^)/
まず最初の頃の写真↓

最新の写真↓

当たり前ですが全然違いますね!
最新の写真は前回載せたアライナー27枚目のものなのですが、
左上2番目の歯のアタッチメントが見えるようになったことに気づき
とってもハッピーな気持ちになりました(*^_^*)♪
最初の写真なんてアタッチメントどころか歯もほとんどみえていないですよね(゜o゜)
あと下の歯も、最初のころはそんなに気にしていなかったのですが
実際綺麗に並んでくると悪い歯並びだったんだなあと感じました・・・!
今は高さも揃ってきて、重なりも減ってきてどんどん理想に
近づいているのが嬉しいです\(^o^)/
型を取り直したらどんな風に変わっていくのか・・・
今から気になって仕方ありません(*^_^*)
No.33 インビザラインアライナー29
こんにちは、西口受付の内田です(*^_^*)
アライナー29枚目になりました♪
写真載せます↓

今回はアライナーを外して写真を撮りました☆
歯の並びがわかりやすいと思うのですがいかがでしょうか??
本来のシミュレーション通りであればあと9枚で終了予定だったのですが、
この歯並びをみるとシミュレーション通りにいかなかったことがわかりますね(;O;)
最初の頃に比べると本当に綺麗に並んできたなあとは思うのですが、
まだまだゴールは先ですね(@_@)
早く綺麗な歯並びになってインビザラインライフを終わらせたい気持ちと、
むし歯っ子の私なので間食やダラダラ食べを防げるインビザラインライフが
もうすぐ終わるかもしれない不安で(笑)とても複雑な毎日です・・・
インビザラインが終わってもちゃんとメリハリつければいいだけのことなんですが
ついダラダラしてしまいそうで自分が怖いです(゜o゜)(笑)
次回はついに型の取り直し!☆
また記事にしますのでよろしくお願いいたします(*^_^*)
No.34 インビザラインアライナー30
こんにちは、西口受付の内田です(*^_^*)
アライナー30枚目になりました♪
ついに型の取り直しの日です☆
院長にアタッチメントを綺麗に取って頂き、
一番初めのときと同じように型を取りました\(^o^)/
アタッチメントを外すときゴトゴトした感覚がありましたが、
とっても早く終わらせてくださったのであっという間でした(゜o゜)!
その後、初回の検査(http://ameblo.jp/shimi-dental/entry-12099888522.html)と
同じ流れでパントモ等撮影をして、箱を発送して届くまでワクワクです\(^o^)/♪
9月中旬に発送したのですが、10月上旬頃に届きました(*^_^*)
初回の時は平らな箱で2つでしたが↓

今回は引き出しのような形でコンパクトになった箱が3つでした↓☆
(写真は2箱ですが3箱あります(@_@))

最初は36枚で2箱でしたが、作り直しをして25枚で3箱です!(^O^)
・・・そうなんです〜!
新しく作り直して枚数が25枚に確定しました(゜o゜)!
1枚10日だとして250日‥
終了は来年6月頃に変更になりました☆
またふりだしかとも思いますが、インビザラインは終わりが見えていて、
目標がハッキリしているので不思議と頑張ろうと思えます(*^_^*)
新しいシュミレーション動画がこちらです☆
何度見ても素敵な動画です(*^_^*)(笑)
引き続きブログで記事をアップしていく予定ですので、
改めまして宜しくお願いいたします!☆
No.35 インビザラインアライナー②-1
こんにちは、西口受付の内田です(*^_^*)
アライナーを新しく作り直し、
その1枚目です♪
写真載せます↓

作り直し前の写真と比べてもピッタリフィットしている感じがわかります(*^_^*)
笹原先生にIPRをして頂き、歯科衛生士の横田さんにアタッチメントをつけて頂きました☆
アタッチメントの位置も変わりました☆
(作り直し前の写真がこちら↓)

これで下の歯もしっかり動いてくれますね(*^_^*)
左上の2番目の歯ばかり気にしていましたが、
下のねじれて高さの揃っていない歯が気になりだしていたので、
この歯の変化も楽しみです♪
あとお気付きの方もいらっしゃるかもしれないですが、
新しいアライナーからゴムが不要になりました〜!\(^o^)/
私には嬉しい変化♪
ゴムがないだけでだいぶ楽に感じます\(^o^)/
インビザラインライフ第2章も頑張ります〜(*^_^*)!
No.36 インビザラインアライナー②-2
こんにちは、西口受付の内田です(*^_^*)
アライナーを新しく作り直し、
その2枚目です☆
今まで奇数の時に写真を載せていたのですが、
次回から偶数のときにも載せていこうと思います(^O^)☆
今回は写真はないですが(^_^;)2枚目もピッタリフィットして良い感じです♪
そして最近、矯正の為ではないのですが親知らずの抜歯をしました!☆
(インビザラインの歯科矯正はできるだけ歯を抜かないことが矯正治療の基本方針の為です。
ただし、思うような歯並びにそろえるためにはどうしても抜歯の必要がある場合もあります。
その場合には、患者さまに詳しくご説明し、ご同意いただいてからの抜歯となります。)
全体的なレントゲン写真を載せます☆
まずなにもしていないころの写真↓

4本しっかり生えてます!
左下の親知らずは完全に横に寝ています(ー_ー)!!
右上は隣の歯にかぶさっているような感じで、その部分が磨けず
健診の度に『早く抜いたほうがいいね〜』と言われていました!
そして2014年の冬にまず左下の抜歯をしました!

その後も抜歯したいなあと思っていましたが、間があき
ついに2016年の9月、10月ですべて抜いていただきました!!☆

すべて綺麗になくなりました(*^_^*)
月に一度当院に来てくださっている丸岡先生に抜歯し頂いたのですが、
早くて、痛くなくて、おもしろくて(笑)あっという間でした(^O^)
これでしっかり歯ブラシが届くようになって、
より口腔内を清潔に保てるようになりました☆
インビザライン、親知らずの抜歯のおかげでどんどん理想に近づいています(*^_^*)
良い状態を保てるよう、ホームケアをしっかり頑張りたいと思います♪
No.37 インビザラインアライナー②-3
こんにちは、西口受付の内田です(*^_^*)
アライナーを新しく作り直し、
その3枚目です♪
ブログを書くのがご無沙汰になってしまいました(>_<)
みなさまお元気でしょうか?
私は元気にインビザラインライフを継続しております\(^o^)/♪
まず口腔内の写真ですが、次回から毎回載せていこうと思います☆
今までは奇数枚数のときだけだったのですが、
細かな変化も今後は記録していきたいと思います!
改めて宜しくお願い致します☆
さて、新しく作り直したアライナーも3枚目になりました♪
そして突然ですが、みなさまは朝ごはんは食べる派ですか?(゜o゜)
私は食べない派です・・・
なので、朝歯磨きをするときついついめんどくさいなあと思うときがありました(>_<)
昼や夜ごはんを食べた後なら、歯磨きをしてフロスをして
しっかり汚れを落とさなくてはという気持ちになれるのですが、
朝は何も食べていないからアライナーはずすことも
めんどくさいなあと思ってしまうこともありました・・・
インターネットで調べたり、患者様のお話を聞くと朝歯磨きをしない方
結構いらっしゃるみたいです!
朝はバタバタしてつい手抜きになってしまうようですね(—_—)!!
そこでどうして朝の歯磨きは大切なのか書こうと思います☆
夜寝ている間は唾液が減るので細菌が増えます!
寝る前に一生懸命歯を磨いても、口の中は無菌状態には出来ないので
残っている菌がどんどん増えていくんですね!☆
むし歯の原因菌、歯周病の原因菌が口中にいっぱいと想像すると
気持ち悪いですよね(>_<)
そして口の中に細菌がたくさんいるので口臭の原因にもなります!
朝歯磨きをしないとデメリットだらけですね((+_+))
特にインビザラインをしている方はアライナーのところに唾液が溜まるので
朝歯磨きをして清潔にしないと、ずーっと細菌がたまり続けていることになります!
歯並びが整っても、虫歯になってしまってはなんだか残念ですよね((+_+))
それを想像するようになってから、めんどくさいと思う気持ちよりも
気持ち悪い!と思う気持ちのほうが強くなってしっかり歯磨きするようになりました(*^_^*)
私は朝はブリリアントモアの歯磨き剤を使っています♪

ミント味でお口の中がスッキリするのでおススメです♪
みなさんも朝の歯磨き習慣をぜひ大切にしてくださいね(*^_^*)
No.38 インビザラインアライナー②-4
こんにちは、西口受付の内田です(*^_^*)
アライナーを新しく作り直し、
その4枚目です♪
写真貼ります↓

作り直す前は、慣れてきたのか装着するときの痛みは
ほとんど感じなくなってきていたのですが、
作り直してからは痛くて痛くて仕方ないです・・・(;O;)
チューイーを噛むと涙が出てくるくらい痛いです・・・
目を閉じてなじむのを待ちます((+_+))
あと作り直してから上前歯のずれ?のような感じが気になります!☆
進めていくうちに揃っていくのだと思うのですが・・・、
こちらも観察していきたいと思います(*^_^*)!
No.39 インビザラインアライナー②-5
こんにちは、西口受付の内田です(*^_^*)
アライナーを新しく作り直し、
その5枚目です♪
写真貼ります↓☆

しみデンのドクターや歯科衛生士に、
『左上の2番すっごい出てきたね〜』と言われるのが嬉しい今日この頃です\(^o^)/♪
歯並びの悪さはもともとコンプレックスでしたが、
笑うとき口元を手で隠したりするのはもう癖のような感じになっていたので
それが当たり前だと思っていました☆
でも歯並びが揃ってきて、
『歯をみせて笑えるようになった』の意味が分かってきた気がしています(*^_^*)
手で隠すことが当たり前ではなくて、隠さないことが当たり前になっていることが本当に嬉しいです♪
脱着がめんどくさくなることがあっても、痛みがつらいときがあっても、
やっぱり歯が揃ってくる喜びには敵いません!☆
引き続き頑張ります(^O^)
No.40 インビザラインアライナー②-6
こんにちは、西口受付の内田です(*^_^*)
アライナーを新しく作り直し、
その6枚目です♪
毎回写真を載せると決めていたのに、今回写真を撮り忘れてしまいました(;O;)
なので今回は久しぶりに比較写真を載せたいと思います☆
☆一番最初の写真(アライナー3枚目:2015年12月)

☆最新の写真(アライナー②-5枚目:2016年12月)

1年でこんなに動きました!!
はじめは歯並びがきちんと揃っていなかったので、
きちんと噛んでいませんでした(>_<)
最近は噛むようになってきて、逆に不慣れな感じで(笑)
食事のとき毎回不思議な感覚になります☆
でもきちんと噛むことは体全体に繋がる大事なことなので
やっぱり嬉しいですね\(^o^)/
No.41 インビザラインアライナー②-7
こんにちは、西口受付の内田です(*^_^*)
アライナーを新しく作り直し、
その7枚目です♪
写真貼ります☆

右下のねじれていた歯が急に揃ってきた感じがします☆
頑張ってチューイーを噛んだ甲斐がありますね\(^o^)/(笑)
写真を見てもアライナーもきちっとはまっているし、
作り直してからのインビザライフは順調です!
そして先月、歯科衛生士の石島さんに定期健診をして頂きました!
むし歯はなかったものの、前回より菌が元気になってしまっていました(ー_ー)!!
冬になり、大好きな限定チョコレートを食べすぎたせいかなと反省中です・・・
健診結果が良いとこんな感じで油断して、
その次の回は気を付けて健診結果が良くて、また油断して・・・と
良い結果悪い結果が交互になってしまっているので、
良い結果が続くように頑張りたいと思います☆
No.42 インビザラインアライナー②-8
こんにちは、西口受付の内田です(*^_^*)
アライナーを新しく作り直し、
その8枚目です♪
写真貼ります☆

アライナーの8枚目はクリスマスの時期あたりだったので、
街にはケーキなどのスイーツがたくさん売られていて
甘いもの好きな私にとって誘惑だらけでした(>_<)
なので美味しいスイーツを求め、友人とランチやカフェに行くと
食べている時間+おしゃべりの時間で
装着時間のことをついつい忘れてしまいそうになります(ー_ー)!!
でもそこは綺麗な歯並びの為にスクッと席を立ち、
My歯ブラシセットを持って歯を磨いてアライナーをはめます\(^o^)/
インビザラインライフに慣れると、アライナーをはめていないと
逆にそわそわしてしまうんですよね・・☆
なのでアライナーをはめたあとおしゃべりをした方が、
思いっきりその時間を楽しめます(*^_^*)
一見面倒くさそうに見えると思うんですが、
慣れてしまうと逆に年末年始にかけての美味しい誘惑に負けずにすんだり(笑)
いいこともたくさんあります\(^o^)/
私はインビザラインのおかげか今年の年末は体重が増えずに済みました♪(笑)
あと仲の良いお友達だと、ランチのあと『歯磨きしなくていいの?』と
逆に声をかけてくれたりしてなんだか応援してもらえてる感じで嬉しくなります(*^_^*)
引き続きこの調子で頑張ろうと思います☆
No.43 インビザラインアライナー②-9
こんにちは、西口受付の内田です(*^_^*)
アライナーを新しく作り直し、
その9枚目です♪
いつも歯科衛生士の庄子さんに口腔内の写真を撮ってもらっているのですが、
お正月のお休みとアライナーの9枚目の時期が被ってしまい
今回は写真がありません(>_<)
次回載せますので宜しくお願いします\(^o^)/
前回の記事に年末太らずに済んだ(*^_^*)と書いたのですが、
年始も無事太らずに済みました\(^o^)/
インビザラインに感謝です☆(笑)
そんなインビザラインライフですが、
定期健診でお越しになる患者様が歯科衛生士にインビザラインの相談をしてくださると
『受付の内田がインビザラインしてますよ〜』と伝えてくれるので、
お帰りの際にご質問をして頂くことがあります☆
その中で最近『アライナーをつけたまま食事はだめだと思うけど、
飲み物はなんでも飲んでいいんですか?』と聞かれました☆
一般の方のインビザラインの体験ブログをみるとコーヒーを飲まれてる方や、
やわらかくて歯を使わなくてもいい食べ物をどうしてもお腹がすいたときに
食べるという方を見かけました(゜o゜)
気持ちはすごーくわかるのですが(笑)基本的にはNGです(>_<)!
お水であればアライナーをしたまま飲んでも全く問題ありません♪
ただし、注意が必要なのは、ビタミン・ミネラルや微量の果汁・糖分が添加された
ニア・ウォーターと呼ばれる飲み物です☆
無色透明で水と間違えそうな飲み物ですが甘さやカロリーが低くても、
虫歯の原因になる酸や糖が含まれています!
アライナーをしたまま飲むと、食事同様、菌が繁殖し、
虫歯や臭いの原因になる為とても危険です(>_<)
アライナーに汚れも定着してしまい、細かい汚れが取れなくなったりと
衛生的にも良くありません・・!
またこれらの飲み物は、矯正をしているかどうかにかかわらず、
虫歯の原因になりますので、基本的にもダラダラと飲むことはお勧めできません(;O;)
アライナーを付けている間は唾液が歯とアライナーの間に
溜まりやすいので虫歯の原因がずっと滞在していると思うと怖いですよね(>_<)
なので必ずアライナーを外している時間に飲むことをお勧めします☆
面倒くさくてデメリットのように感じますが、むし歯っ子だった私がここ最近の
定期健診で虫歯がないのはこのダラダラ食べがないせいだと思います(*^_^*)
アライナーも定期的に新しくなるので、少しくらい汚れても良いのではと思うかもしれませんが
綺麗な歯並びだけでなく、お口の健康を守ることも考えると
やっぱりアライナーをつけているときはお水以外のものを飲まないことがお勧めです☆
またご質問があればの回答を載せたいと思います♪
No.44 インビザラインアライナー②-10
こんにちは、西口受付の内田です(*^_^*)
アライナーを新しく作り直し、
その10枚目です♪
写真載せます!☆

2桁に突入しました!
インビザラインの矯正をはじめて約一年が経過して、
最初の頃に比べて全体的に揃ってきているので
なんとなく変化が前よりわかりづらくなったかなあと思ったのですが、
作り直して1枚目と比べると・・・
(1枚目)

(10枚目)

色々変化がありますが、特に左上の2番目歯の重なりがなくなってます(*^_^*)!
ブログをはじめて写真を定期的に撮っているので、
こんな風に比較できると私自身もとってもわかりやすいです♪
あと残り15枚☆
これからの変化が楽しみです(*^_^*)
No.45 インビザラインアライナー②-11
こんにちは、西口受付の内田です(*^_^*)
アライナーを新しく作り直し、
その11枚目です♪
写真載せます☆

今回も問題なくはめられました\(^o^)/
最近インビザラインをしている患者様が
アタッチメント(歯とほぼ同色の樹脂を接着した突起のところです)が
取れてしまったと来院されました!
私はインビザラインをはじめて、取れてしまうことはほとんどないのですが、
アライナー脱着の際に強い負荷がかかってしまったり、
硬いものを食べたときに取れてしまうことがあるようです(>_<)
アタッチメントが取れたままになってしまうと歯の移動が遅くなって
治療期間が延びてしまったり、計画通りに歯が動かなかったりすることがあります!
インビザラインをしている方は、
取れてしまったことに気が付いたらぜひすぐにご連絡くださいね(*^_^*)
No.46 インビザラインアライナー②-12
こんにちは、西口受付の内田です(*^_^*)
アライナーを新しく作り直し、
その12枚目です♪
今回は12枚目の写真ではなく、
ひさしぶりに全体の写真を撮ってもらったので
それを載せたいと思います\(^o^)/
2015年に撮ったものと比較してみました!


変化していることは分かっているはずなのに、
写真で見るとやっぱりビックリしてしまいます(゜o゜)☆
正面からだけではわからない変化にも気付けますね!
左上の2番など大きな変化がやっぱり気付きやすいですが、
この写真を見ると奥歯もしっかり噛みあってきているのがわかります(*^_^*)
綺麗なアーチになってきていてとっても嬉しいです(^O^)♪
No.47 インビザラインアライナー②-13
こんにちは、西口受付の内田です(*^_^*)
アライナーを新しく作り直し、
その13枚目です♪
写真載せます↓

今回はアライナーを装着せず写真を撮ってもらいました\(^o^)/
最近は噛み合わせにも慣れてきて、とても食事がしやすいです☆
歯並びが悪かった以前はきちんと噛めていなかったので、
きちんと噛めていない中の自分のポジションのようなものがあり、
歯が揃うにつれ、その場所では噛みにくくなってしまいました(>_<)
でも揃ってきた歯の正しいかみ合わせで食事が出来るようになり快適です\(^o^)/
あと今は歯が揃ってきて噛みやすいだけでなく、
食事のあとのフロスで食べカスがほとんど取れなくなったことが嬉しい変化です!♪
歯と歯の間に食べ物が挟まることが少なくなり、
挟まっても歯並びが揃ってきたので簡単にフロスを通すことが出来ます☆
『矯正治療は究極の歯科予防』と当院のHPに載っているのですが、
その意味が実際に体験してひしひしと感じられることがとても嬉しいです(*^_^*)
No.48 インビザラインアライナー②-14
こんにちは、西口受付の内田です(*^_^*)
アライナーを新しく作り直し、
その14枚目です♪
写真載せます↓

家で歯を磨いたあと夫に歯を見せると、
『すごい並んできたね〜!
もう俺より綺麗に並んでいるんじゃない?(゜o゜)』
と言ってもらえました♪
夫は歯科矯正をしていないのですが、
歯並びが元から綺麗で虫歯もあまり出来ないタイプです(—_—)!!
そのせいか私の矯正前の歯並びが気になるようで、
歯科矯正したら?と勧めてくれていました☆
歯科矯正をはじめて、そんな夫から自分より綺麗に並んでいる
なんて褒め言葉をもらえて本当に嬉しかったです!
残りあと11枚☆
ますますやる気になりました\(^o^)/
No.49 インビザラインアライナー②-15
こんにちは、西口受付の内田です(*^_^*)
アライナーを新しく作り直し、
その15枚目です♪
写真載せます↓

前回の記事で夫が歯並びを褒めてくれたので、
調子に乗って久々に会った友人にも
歯科矯正をはじめて歯並びが良くなってきていることを話しました(*^_^*)(笑)
そうすると
『え?!そんなに歯並び悪かったっけ??』と(゜o゜)笑
そんな!と思いこのブログを見せると、
『本当だ〜!全然違うね〜!』と言ってくれました☆
その日1日友人と遊んでいて、しばらくすると、
『わかった〜!美希は昔笑ったりすると手で口隠したり、
写真撮るときも口閉じてるから気づかなかったんだ〜!
今日一緒にいてふとしたときにやっぱり変わったなあと
思ったよ〜(*^_^*)』
と言ってもらえました\(^o^)/
なるほど!と思う意見でした(^O^)
歯並びが揃ってきて私自身仕草が変わっているんだなあと
改めて実感しました☆
No.50 インビザラインアライナー②-16
こんにちは、西口受付の内田です(*^_^*)
アライナーを新しく作り直し、
その16枚目です♪
写真載せます↓

順調に進んでいます\(^o^)/
今当院ではインビザラインの矯正治療の経過の写真を
患者様にご覧頂けるよう診療室にご用意してございます☆
2パターンご用意しておりまして、ブログでも少しご紹介したいと思います!
まず『開咬』のケースを今回ブログで紹介したいと思います\(^o^)/

一言で歯並びが悪いと言っても色々なケースがあります。
開咬とは、上下の歯が接触することなく
正常に噛み合っていない状態をいいます。
主な原因は顎の遺伝的な異常構造または過度な指しゃぶりによって引き起こされることが多く、
開咬が原因で咀しゃく時に痛んだり、噛む力が低下したり、
さらには言語障害を引き起こす場合もあるようです。
診療室に写真がございますので気になる方は
ぜひスタッフまでお声がけくださいね☆
No.51 インビザラインアライナー②-17
こんにちは、西口受付の内田です(*^_^*)
アライナーを新しく作り直し、
その17枚目です♪
写真載せます↓

今回も問題なく新しいアライナーつけられました\(^o^)/
さて、前回の記事で開咬のケースの写真をご紹介しましたが、
今回は『叢生』についてです☆

叢生とは、顎に対して全ての歯が正常に並ぶスペースが不足している場合に生じ、
歯のねじれや重なったりしてる状態をしめします。
治療せずに放置しておくと、過度の叢生の場合、時間の経過とともに
歯並びがさらに悪くなる場合があるようです。
叢生によって、歯垢の蓄積や虫歯へとつながり、歯周病になる
可能性が高くなることもあります。
診療室にご用意している写真は私のものではないのですが、
私も叢生のケースに当てはまります(>_<)
こちらの写真も診療室にご用意してございますので、
ぜひご覧くださいね☆
No.52 インビザラインアライナー②-18
こんにちは、西口受付の内田です(*^_^*)
アライナーを新しく作り直し、
その18枚目です♪
写真載せます↓

下の歯のねじれがさらに良くなってきている気がします!
アライナーの作り直しをして、そのときでも
ずいぶん揃ってきたなあと嬉しかったのですが
改めて見直してみると・・・


全然違います\(^o^)/
左上の2番目の歯も随分出てきたなあと思っていましたが、
まだまだ頑張って動いていてくれたのですね☆
下の歯のねじれもよくなってきたので
歯が高くなったような感じで周りの歯と高さが揃ってきています♪
上の前歯2本のズレも少し気になっていたのですが、
それも徐々に揃ってきています\(^o^)/
あと残り7枚です☆
シミュレーション動画を観てまたワクワクしています(*^_^*)
No.53 インビザラインアライナー②-19
こんにちは、西口受付の内田です(*^_^*)
アライナーを新しく作り直し、
その19枚目です♪
今回写真を撮れませんでした・・・(>_<)
久しぶりに風邪をひいてしまい、お休みを頂き、
写真を撮ってもらうタイミングを逃してしまいました((+_+))
今はもうすっかり風邪も治ったので、
次回からまた写真を載せたいと思います!☆
今回は私の歯磨きポーチを紹介したいと思います(*^_^*)
インビザラインをしている人はアライナーの装着時間を守らなくては
いけないので外食をしたときはそのあとすぐ歯を磨きます☆
そのため歯磨きセットは必須アイテムです♪
私は今こんなポーチを使っています↓**

ピンクで白猫ちゃんの絵が可愛いです☆
中身は、

☆タフト24Sの歯ブラシ
☆市販の歯磨き粉
☆eフロス
☆アライナーケース(画像には載ってません)
☆アライナーチューイー
☆市販のデンタルリンス
が入っています\(^o^)/
自分で選んだお気に入りの歯磨きセットなので
使うのが楽しみであまり歯磨きが億劫になりません(*^_^*)
ショッピングモールなどに出かけた際、
トイレで歯磨きをしていると小さい子に
『あの人歯磨きしてるー!』なんて言われることもあります(゜o゜)(笑)
矯正治療に関係なく、食べたら歯磨きは大事だよ〜☆
とついお話したくなります(*^_^*)(笑)
アライナーもあと残り6枚ですが、
綺麗なお口を守るためにもこの習慣は継続していきたいと思います☆
No.54 インビザラインアライナー②-20
こんにちは、西口受付の内田です(*^_^*)
アライナーを新しく作り直し、
その20枚目です♪
写真載せます↓

ついに20枚目に突入しました☆
写真は少し口を開けている状態なので分かりにくいのですが、
しっかり噛み合わせると正中がしっかり合います(*^_^*)
(今度その写真も載せたいと思います☆)
キリの良い枚数なので一番最初の頃と比較したいと思います!


全然違います〜\(^o^)/
歯並びに感動するのですが、一番に思ったのが
ゴムをかけていたことが懐かしい!と思いました(゜o゜)!
あんなに毎日頑張っていたのにすっかり忘れているなんて・・・
慣れとは不思議なものですね・・・☆
あと写真に撮っておけばと後悔しているのですが、
アライナーの形の変化もお見せしたかったです(—_—)!!
最初に自分でアライナーを見たときは、
No1のと最後のアライナーの形が違いすぎて
本当にこんなに綺麗になるのかな?と
自分が綺麗な歯並びになる想像がまったく出来ませんでした!
でも今実際こうして理想に現実が近づいていくと
撮っておけばよかった〜と本当に思います!♪
アライナーはしばらくしたら破棄してしまっているので
もう手元になく残念です(>_<)
実際の歯並びの変化は写真でも見れますが、
これからインビザラインを始める方はぜひ記念に
最初のアライナーをとっておくのもオススメです♪
No.55 インビザラインアライナー②-21
こんにちは、西口受付の内田です(*^_^*)
アライナーを新しく作り直し、
その21枚目です♪
写真載せます↓

残りあと4枚ということに驚きですが、
あっという間に21枚目になりました!☆
今回も問題なくアライナーをはめられました\(^o^)/
21枚目のアライナー使用中のある日、
朝リテーナーシャインの洗浄をしたまま忘れて外食に
出かけてしまい、帰ってきて慌ててアライナーをはめました(>_<)
1日の装着時間が20時間以上なのですが、
その一回でオーバーしてしまうのでは!
というくらいギリギリで装着しました(^_^;)
すると左上2番がキツイような感じがしました・・☆
装着してしばらくすると慣れたのですが、
そんなほんの数時間でも歯は戻ろうとするんだなあと驚きました(゜o゜)
終わりに近づいていても、
やっぱり何枚目になっても装着時間を守るのは大切ですね!☆
油断せず頑張りたいと思います☆
No.56 インビザラインアライナー②-22
こんにちは、西口受付の内田です(*^_^*)
アライナーを新しく作り直し、
その22枚目です♪
写真載せます↓

歯が綺麗に揃ってきているので、
最近はあまり代わり映えのしない写真ですが
新しいアライナーをはめるときはやっぱりキツイです(ー_ー)!!
でもそのキツさは、こんなに綺麗に揃ってきているのに、
まだ頑張って動いてくれている証拠だと思うと嬉しいです\(^o^)/
そして私はもうすぐ定期健診の予定です☆
虫歯がないか、菌の状態はどうか・・・
学生の頃のもうすぐテストだびっくり!という気持ちに似てます・・・(笑)
でもインビザラインの矯正を始めてから
プラークコントロールの良い私\(^o^)/
心地よい歯のクリーニングを想像しながら
余裕をもって健診日を迎えたいと思います(*^_^*)
No.57 インビザラインアライナー②-23
こんにちは、西口受付の内田です(*^_^*)
アライナーを新しく作り直し、
その23枚目です♪
写真載せます↓

今回もピッタリはまって一安心(*^_^*)
23枚目の週に定期健診を受けました♪
ドキドキして臨みましたが、
虫歯もなく、プラークスコアが4%と過去一番少ない数字で
健診をしてもらった歯科衛生士の石島さんにも褒めてもらえました\(^o^)/
インビザラインをはじめてから、食後にすぐ
歯磨きとフロスをしているのがとても良いことだと思うのですが、
歯並びが良くなるにつれて健診の結果も良くなっているので
改めて歯科矯正治療のすごさに感動しました(*^_^*)
健診の際、院長にチェックをして頂いたのですが、
インビザラインアライナー追加になりました!☆
奥歯の噛み合わせの部分をより改善出来るとのことです☆
自分だけだと見た目重視で見てしまうところがありますが、
きちんとドクターにチェックしてもらえると
機能面の気付かない部分を診てもらえるのでありがたいし、大事なことですね(^O^)!
とりあえず今のアライナーは25枚目まできっちりと
使う予定なので引き続き記事にしていきたいと思います!☆
No.58 インビザラインアライナー②-24
こんにちは、西口受付の内田です(*^_^*)
アライナーを新しく作り直し、
その24枚目です♪
写真を撮り忘れてしまったので、
今回は今までの比較と感想を書いていきたいと思います!☆
まず写真です↓



上から順に、
①インビザラインアライナー3枚目
②インビザラインアライナー作り直した1枚目
③インビザラインアライナー作り直した23枚目(前回の写真)
です(^O^)☆
こんなにも変化しました!
次の25枚目の日数を過ぎたら、
アタッチメントを取り、型を取り直します♪
また写真を撮るなど初回の検査と同じ流れで進み、
新しいアライナーを注文します\(^o^)/
追加アライナーが何枚になるのか気になります・・・☆
No.59 インビザラインアライナー②-25
こんにちは、西口受付の内田です(*^_^*)
アライナーを新しく作り直し、
その25枚目です♪
写真載せます↓


歯をきちんと噛み合わせた状態の写真も撮ってみたのですが、
しっかり正中が合っていてウットリします(*^_^*)(笑)
次回は新しいアライナーの写真を載せたいと思うのですが、
ここからさらに良くなっていくのかと思うと
自分の歯ではないような不思議な気分になります(^O^)☆
でも本当に嬉しいし楽しみです(*^_^*)
引き続きインビザラインライフが続くので、
夏前に太る心配もなさそうです\(^o^)/(笑)
No.60 インビザラインアライナー③-1
こんにちは、西口受付の内田です(*^_^*)
アライナー作り直し2回目、
その1枚目です♪
写真載せます↓


今回は②-25枚目の発送の際に撮った写真と、
③-1枚目が届いて撮ってもらった写真を載せてみました(*^_^*)
新しい③-1のアライナーが届くまでは歯は動いていないので
変わらない画像ですが、到着後の画像は側面や下からの
写真も撮ってもらったので一緒に載せてみました☆
新しく③-1のアライナーが届いた時に撮ってもらった写真を
まじまじと見ると自分の歯ながらキレイ!と
歯並びに感動してしましました\(^o^)/(笑)
写真を撮る前に衛生士の黒須さんにアタッチメントをつけて頂いたので、
これで作り直し2回目のインビザライフがスタートしました♪
3回目の今回の枚数は・・・・
19枚でした〜\(^o^)/☆
終わりはだいたい今年の冬頃の予定です!
今でもウットリするほどキレイな歯並びですが、
ここからどう変わっていくか楽しみです(*^_^*)
次回はシミュレーション動画を載せたいと思います☆
No.61 インビザラインアライナー③-2
こんにちは、西口受付の内田です(*^_^*)
アライナー作り直し2回目、
その2枚目です♪
今回はシミュレーション動画を載せます!
私はこの動画が大好きです\(^o^)/
今現在歯並びも整ってきているのであまり変わらないかなあと
思っていましたが、特に最後の動きに感動しました\(^o^)/☆
まだこんなに動いてくれるのですね(*^_^*)!
装着時間を守って予定通り進むよう頑張りたいと思います♪
No.62 インビザラインアライナー③-3
こんにちは、西口受付の内田です(*^_^*)
アライナー作り直し2回目、
その3枚目です♪

今回も浮きなどもなく、ピッタリはまりました☆
アライナーを付ける際、アライナーチューイーを噛むのですが、

インビザラインの歯科矯正をされている方、
定期的に交換されてますか?
恥ずかしながら私は初期の頃、
きちんと話を聞いていなかったのか(ー_ー)!!
ずっと同じものを使い続けるのかと思いこんでおり、
2ヵ月くらい同じものを使っていました・・・
スタッフと雑談をしていたときふとその話題になり、
定期的に交換することを知り、
その日すぐに新しいものに変えました\(^o^)/
全然違います!(笑)
弾力がしっかりあり、噛んでも噛む力に負けません☆
インビザラインは装着時間も大事ですが、
前提としてきちんとはまっていなければ意味がないので
チューイーの存在は大切です(^O^)!
また定期的に交換することで衛生面にも良いので、
1ヵ月に一度の交換をお勧めします♪
当院では2個入りで500円(税抜)で販売してます(^_-)-☆
No.63 インビザラインアライナー③-4
こんにちは、西口受付の内田です(*^_^*)
アライナー作り直し2回目、
その4枚目です♪
写真を載せます↓

今回も問題なくはまりました(^O^)☆
当院でインビザラインを始める方が増え、
仲間が増えたような嬉しい気持ちで過ごしております♪
最近は過ごしやすい日続いておりますが、
8月に入り、これから暑い日々が始まりそうですね(゜o゜)!
水分補給のためにスポーツドリンク、
ついつい食べたくなってしまうアイス・・・(ー_ー)!!
夏は誘惑がいっぱいですね!(笑)
インビザラインはそんな夏にメリットがいっぱいなんです\(^o^)/
装着時間を守るため、食事時間にメリハリがついて、
冷たいもので弱りやすい胃腸にも
休息時間が与えられて健康に繋がります(*^_^*)
またアライナー装着中でもお水は飲んでもOKなので
しっかり水分補給は出来ますし、
外した時にもちろんスポーツドリンクを飲んでもOKです(^_-)-☆
ダラダラ食べ(飲み)がなくなるので虫歯予防にも繋がりますね(*^_^*)
私はダイエットにもなっております\(^o^)/(笑)
インビザラインに感謝しながら、
今月も装着時間を守れるよう頑張りたいと思います(*^_^*)
No.64 インビザラインアライナー③-5
こんにちは、西口受付の内田です(*^_^*)
アライナー作り直し2回目、
その5枚目です♪
今回は私ではなく、インビザラインをしているスタッフの写真を
載せたいと思います\(^o^)/

下が治療前、上が最新画像です☆
まだ治療途中ですがしっかり動いてますよね♪
アーチがとっても綺麗に変化しています(^O^)
次回ももう1名のスタッフの写真を載せたいと思います☆
No.65 インビザラインアライナー③-6
こんにちは、西口受付の内田です(*^_^*)
アライナー作り直し2回目、
その6枚目です♪
前回の記事に書いた通り、もう1名のスタッフの
画像を載せたいと思います\(^o^)/

下が治療前、上が最新画像です☆
こちらもまだ治療途中ですがしっかり噛みあってきてます♪
一番右の画像を見ると隙間がなくなっていますよね(^O^)
真ん中の画像を見ると前歯の変化も良くわかります☆
次回からまた私の画像を載せていきます\(^o^)/
私も引き続き頑張って、
綺麗な歯並びを目指したいと思います(*^_^*)♪
No.66 インビザラインアライナー③-7
こんにちは、西口受付の内田です(*^_^*)
アライナー作り直し2回目、
その7枚目です♪
写真載せます↓

今回もしっかりはまりました(^O^)
自分の歯並びにもうっとりするのですが(笑)、
今回の写真で歯がツルツルしている感じに見えませんか?
実は歯磨き剤を変えました\(^o^)/

リナメルのホームケアペーストです☆
アパガードリナメルは着色が付きやすい歯の表面の傷を
修復する効果があります。
歯の表面にはエナメル質という硬い部分があり、歯磨き粉の研磨剤や食事、
歯の治療などで歯の表面に傷がつくことがあります。
この傷に茶渋や食べ物の色素が入り込むと歯の着色となり目立ってきます。
アパガードリナメルはエナメル質と同じ成分で歯の表面の傷を埋め、
修復し、歯の表面をツルツルにして、着色が付きにくい歯にします。
またアパガードリナメルは歯垢をこすり落とすのではなく、
吸着させて落とすことができます。
一般の歯磨き粉の中には研磨剤が含まれ、この研磨剤によって歯を削り、
歯垢や着色を落とします。
通常は唾液の成分によって研磨剤で傷ついた歯の表面の傷を治していきます。
しかし、唾液の治す力が弱い方や歯の表面が傷つきやすい方は傷跡が残って着色の原因になります。
アパガードリナメルは歯垢を吸着させて落とすために、
歯の表面に傷を付けずに歯垢を落とすことができます。
1ヵ月くらい使い続けているのですが、
目に見えてしっかりと変化していたので嬉しい気持ちです(*^_^*)
これからも使い続けて、
綺麗な歯と歯並びを保っていきたいと思います☆
No.67 インビザラインアライナー③-8
こんにちは、西口受付の内田です(*^_^*)
アライナー作り直し2回目、
その8枚目です♪
写真載せます↓

今回も問題なくはまりました(^O^)
アライナー8枚目のときは私は夏休みを頂いておりました☆
実家へ帰り、お母さんのおいしいごはんや
地元の美味しいごはん屋さんへ行ったりして、
装着時間ギリギリの毎日を送っていました(—_—)!!(笑)
面倒臭くなってきたりすることもありますが、
最近感じることがアライナーをはめていないと落ち着かない!
ということです・・・☆
慣れとは怖いもので、噛み合わせた時のアライナーの
感覚に慣れてしまって食事以外の時にアライナーをしていないと
なんだかソワソワしてしまいます!(笑)
なので面倒臭いより落ち着かない気持ちが勝り、
装着時間はしっかり守れている感じです(^_-)-☆
あと前の私では考えられない左上2番の歯や、
正中が揃っている噛み合わせを見ると自然と毎日モチベーションアップ出来ています\(^o^)/
この調子で頑張ります☆
No.68 インビザラインアライナー③-9
こんにちは、西口受付の内田です(*^_^*)
アライナー作り直し2回目、
その9枚目です♪
写真載せます↓

今回も問題なくはまりました\(^o^)/
作り直して1枚目と9枚目を比較したいと思います☆


(上:1枚目、下:9枚目)
1枚目のときでも満足してしまうくらいだったのですが、
比較画像をみると全然違います!(゜o゜)
奥歯の隙間が減って、しっかり噛みあってきています!
嬉しいです(*^_^*)
引き続き頑張ります☆
No.69 インビザラインアライナー③-10
こんにちは、西口受付の内田です(*^_^*)
アライナー作り直し2回目、
その10枚目です♪
写真載せます↓

今回も問題なくはまりました\(^o^)/
作り直し2回目の今回は全部で19枚なので
もうあと9枚かと思うと早い気がします・・・☆
そう思って改めてアライナーを見直すと、

16枚目と17枚目の袋の記載に違いが・・・?
Over-Correction Alignersってなんだろう????
確認しました(^O^)☆
・歯が綺麗に並んだあと、歯と歯の隙間をキュッとしめてくれる役割
・歯の後戻りを考えた上で、適正な位置に歯を動かしてくれる役割
上記の働きをしてくれる大事なアライナーみたいです!☆
そのアライナーまであと7枚!
楽しみです\(^o^)/
No.70 インビザラインアライナー③-11
こんにちは、西口受付の内田です(*^_^*)
アライナー作り直し2回目、
その11枚目です♪
写真載せます↓

今回も問題なくはまりました\(^o^)/
残すところあと8枚!☆
いつもブログをご覧いただきありがとうございます(*^_^*)
この度、しみずデンタルクリニックは専用のアプリが完成し、
私のブログもアプリから簡単にご覧いただけるようになりました\(^o^)/☆★☆
iPhoneの方はAppStoreから、Androidの方はPlayストアから
『しみずデンタルクリニック』と検索して頂けるとすぐに出てきます!
ブログの閲覧の他にも便利な機能や、
アプリならではの限定サービスも搭載されておりますので
ぜひぜひチェックしてみてください(*^_^*)!
No.71 インビザラインアライナー③-12
こんにちは、西口受付の内田です(*^_^*)
アライナー作り直し2回目、
その12枚目です☆
写真載せます↓

今回も問題なくはまりました\(^o^)/
12枚目の週にデザートブッフェに行きました(^O^)♪
デザートブッフェに向かう途中、一緒に歩いていた友人に
『歯並び綺麗になったね〜(*^_^*)』と褒めてもらえました☆
友人も歯科矯正の経験者なのですが、
白くてとっても綺麗な歯並びで、
そんな友人に褒めてもらえて本当にうれしかったです♪
現地に到着して、
14時半から17時までの楽しい時間でした☆
美味しいケーキやマカロン、
甘いものに少し飽きたときはペンネやスープなどの軽食もあり
食べっぱなしの2時間半でした(゜o゜)!



しっかり食べた後はすぐに歯磨き(^_-)-☆
褒めてもらえてモチベーションアップできたので、
改めて頑張りたいと思いました\(^o^)/
No.72 インビザラインアライナー③-13
こんにちは、西口受付の内田です(*^_^*)
アライナー作り直し2回目、
その13枚目です♪
13枚目の週、夏休みとかぶってしまい写真を撮れませんでした(>_<)
でも今回もきちんとはまりました♪
なので今回は写真はお休みなのですが、
代わりに素敵なお知らせがあります\(^o^)/☆
『 i-Teroエレメントという口腔内スキャナーを
導入いたしました。
これにより、インビザラインの検査で
型どりが必要なくなりました。
この器械のカメラで歯列を撮ることでデータを作り、
これをインビザライン本社に送ります。
型どりの苦痛もなくなり、データをインターネットで
送ることで、製作までの日数が短縮されます。』
HPのインフォメーションをご覧になった方はご存じかと思いますが、
しみデンに素敵なスキャナーが導入されました♪
型取りの必要がなくて、データをそのまま送れる・・・
歯科矯正がなんだかぐっと身近に感じたのは私だけでしょうか?(*^_^*)(笑)
歯の型取りが苦手な方も、
『歯科矯正始めるぞ!』と思ったけど、製作から実際始めるまで
時間が経つとやる気が薄れてしまうことが心配だった方も、
気軽にインビザライン始めてみたくなりませんか?(*^_^*)
私もちょっと体験してみたかったです・・・\(^o^)/(笑)
インビザライン歯科矯正の相談は無料ですので、
気になっている方はぜひご予約のお電話くださいませ☆
No.73 インビザラインアライナー③-14
こんにちは、西口受付の内田です(*^_^*)
アライナー作り直し2回目、
その14枚目です♪
写真載せます↓

今回も問題なくはまりました\(^o^)/
3枚目と比較してみます!☆


作り直して3回目の時点で、比較的もう歯並びは綺麗だったので
正面の写真では大きな変化はわかりずらいかと思いますが、
それでも下前歯の隙間が狭くなって高さも綺麗に揃っているのがわかります(*^_^*)
上前歯のずれのような感じもなくなっている気がします☆
あと体感としてしっかり噛みあって、食事がしやすいので
次回は側面の写真を撮ってわかりやすい変化をお見せ出来たらと思います(^O^)♪
No.74 インビザラインアライナー③-15
こんにちは、西口受付の内田です(*^_^*)
アライナー作り直し2回目、
その15枚目です♪
写真載せます↓

前回の記事でお伝えした通り、側面も今回は撮りました\(^o^)/
3回目作り直しの時と比較してみます☆


(上:2017年6月 / 下:2017年10月)
最新のものが歯が黄色く見えますが、
アタッチメントが着色してしまっているせいです(>_<)
アライナーをしているときは目立たないですが、
こうして写真を撮るとわかりますね((+_+))!
歯並びですが、まだ完全ではないですが
隙間が減って噛み合ってきていています☆
6月の時点でもうすでに比較的揃ってきていて、
微調整という感じなので画像ではわかりにくかもしれないですが、
フロスをするときに歯間が狭くなっている感じがしたり、
食事のときしっかり噛めたり、
生活をしてみて体感としては変化を感じています(^O^)
あと残り4枚☆
ここからどう変化するのか楽しみです♪
No.75 インビザラインアライナー③-16
こんにちは、西口受付の内田です(*^_^*)
アライナー作り直し2回目、
その16枚目です♪
今回は私ではなくスタッフの写真を載せます☆
なんと!
歯科衛生士の庄子さんがついにインビザラインが終わりました\(^o^)/
写真がこちらです↓

綺麗ですね〜(*^_^*)
綺麗に揃った歯並びを保つために、
今後は保定装置をつけていきます♪
保定装置をしないと後戻りの原因になり、
せっかく綺麗に並んだ歯がまた動いてしまいます!
この保定装置は、床タイプやワイヤータイプ、
マウスピースタイプなど種類があります☆
庄子さんはviveraというマウスピースタイプのものを装着するようです(^O^)

今装着中でマウスピースはお口のようなので、
ケースだけ撮らせてもらいました☆
今までのアライナーのケースの色は赤と青でしたが、
保定用のマウスピースをいれるケースはクリアです☆
なんかおしゃれですね?(*^_^*)(笑)
私ももうすぐかと思うと嬉しいです(^O^)♪
きちんと装着時間を守って、
保定装置に移行出来るように頑張ります!
No.76 インビザラインアライナー③-17
こんにちは、西口受付の内田です(*^_^*)
アライナー作り直し2回目、
その17枚目です♪
今回からついにOver-Correction Alignersです☆
なのに・・・写真を撮り忘れてしまいました(ー_ー)!!
インビザが本当に習慣化してしまって、
すっかり・・・が多くなっていますね・・(;O;)
次回は必ず載せます(>_<)!
残りあと2枚☆
終わりが近づいている感じがします(^O^)
またしてもなんだか寂しいような嬉しいような・・・
今回から使い始めたOver-Correction Alignersは
今までのアライナーと使用感が全然違う感じです!
インターネットで検索すると、今までものが比じゃないくらいに痛い!
などと載っていたので怯えていたのですが(ー_ー)!!
実際使ってみるとギュッと全体的に歯が締まっている感覚です(^O^)
今まではどこか一点の歯に負荷がかかっているような感覚だったのが、
それが全体的に変わる感じなので、
それが痛みが増す感じ?ということなのかなあと思いました(゜o゜)
ただ私はしっかりとぎゅっと締まる感じが、
最後の追い込みのような(笑)感覚で嬉しい毎日です(*^_^*)
引き続き頑張ります!
No.77 インビザラインアライナー③-18
こんにちは、西口受付の内田です(*^_^*)
アライナー作り直し2回目、
その18枚目です♪
写真載せます↓
今回も問題なくはまりました☆

最近は大きな変化で喜ぶ・・という初期の頃の気持ちと違い、
無事に入って良かった!という喜びや安心感が強いです\(^o^)/(笑)
さて・・・ついに次回が最後の1枚です・・・・
インビザライフともこのブログともお別れだと思うと寂しいです(;O;)
☆予定☆
①アライナー③-19の記事
②アタッチメント除去後、全体の写真
③保定装置装着記事
これで私のインビザラインのブログは終了予定です・・・☆
寂しいですが、嬉しいお知らせも(*^_^*)♪
なんと歯科衛生士の飯沼さんがインビザラインをはじめることになり、
楽しみですね\(^o^)/
残りの私のブログと、新しく始まる飯沼さんのブログを
ぜひぜひチェックお願いします♪
No.78 インビザラインアライナー③-19
こんにちは、西口受付の内田です(*^_^*)
アライナー作り直し2回目、
その19枚目です♪
写真載せます↓

今回も問題なくはまりました☆
一番最初の写真と比較したいと思います(^O^)


変化にびっくりです!☆
こんなに想像以上に綺麗に並んでくれて、
矯正治療をはじめるときに期待した気持ちのはるか上をいく満足度です\(^o^)/♪
次回はアタッチメントを除去して、保定装置のリテーナーの型取りです!
なんと体験したかったi-teroを使うみたいなので楽しみです(*^_^*)
アタッチメントを外したら、またいろいろな角度から写真を撮る予定ですので、
またブログにアップしますね♪
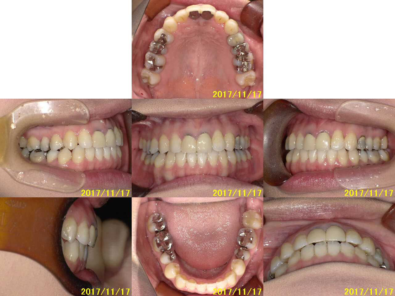
No.79 アライナー終了・アタッチメント除去後、全体の写真
こんにちは、西口受付の内田です(*^_^*)
アライナー作り直し2回目、
アライナー終了・アタッチメント除去後の記事です♪
写真載せます↓

前回撮影したものと比較したいと思います!


(上:2017/10/6 下:2017/11/17)
今回はアタッチメントを除去した後に写真を撮ったので、歯が白く見えますね\(^o^)/(笑)
前回の全体写真から約1ヵ月の期間ですが、だいぶ変わっているのが写真でわかります☆
奥歯がしっかりと噛んで、隙間が減っています!
しっかり噛めるようになり、『奥歯でしっかり噛んでください〜』といわれても困らなくなりました!(笑)
以前までは噛み合わせが乱れていたので噛めているのか感覚がわからなかったのです・・・
そして体験してみたかったi-teroを使い、保定のリテーナーの型取りをしてもらいました(*^_^*)



画面を見ていただくとわかると思いますが、スキャンして読み込んでいきます☆
あっという間に終わりました(゜o゜)!
以前まではここから型取りしたものを郵送して・・・という工程でしたが、
i-teroではこのままデータを送れるので郵送の期間や承認の時間が短縮されます☆
次はついに最後の記事で届いた保定リテーナーのことを書いていきます\(^o^)/
No.80 ☆Viveraリテーナー(保定リテーナー)
こんにちは、西口受付の内田です(*^_^*)
アライナー作り直し2回目、
アライナー終了後、保定リテーナーの記事です♪

インビザラインのアライナーと同じ箱に入ってきますが、
大きくViveraと書いたシールが貼ってあります☆
中をあけるとViveraのリテーナーが3つ♪
(1枚目すぐにはめてしまい写真ないので2・3枚目の写真です(^_^;))

前に庄子さんの記事を載せた時と同じ、透明のリテーナーケースも入っていました!
Viveraのリテーナーをはめるとカチッと音がしてしっかりはまりました\(^o^)/
今までと同様透明のリテーナーなので目立ちません☆
ただ少し違うのが、Viveraのリテーナーは長く使うことを想定しているからか
(アライナーは長くても14日間で交換)、かため・・・というより
よりしっかりとした作りで出来ています(゜o゜)☆汚れにも強そうな印象です!
説明書もきちんと入っています!日本語のページもバッチリです(^_-)-☆


綺麗に並んだ歯並びを保つために保定リテーナーは今までのアライナーと同じように
毎日、日中もつけることをお勧めします(*^_^*)
少なくても矯正治療にかかった日数(年数)と同じ期間、保定リテーナーを頑張ることで
ぐっと後戻りしてしまう可能性を下げることが出来ます!
その後も健診などをきちんと受けて矯正治療が終わった後も経過を見ていくことが大切ですね(^O^)
頑張った日々が無駄にならないように、
保定の期間もしっかり頑張りたいと思います\(^o^)/
さて、これで内田のインビザライン日記は終わりです(;O;)
本当に終わってしまうと思うととっても寂しいです・・・
今まで読んでくださった皆様、本当にありがとうございました!!
次回から歯科衛生士の飯沼さんのインビザライン日記が始まりますので、
ぜひ引き続きブログを見てくださると嬉しいです(*^_^*)
最後に私のインビザラインを始める前と終了後の写真を載せます\(^o^)/
★before ★

★after★

★おわり★